Bianca Rohsner Bezerra1; Khalil Feitosa de Oliveira2; Yury Tavares de Lima2; Breno Douglas Dantas de Oliveira2
Resumo
INTRODUÇÃO/OBJETIVO: Ferimentos com corpos estranhos retidos em partes moles são queixas comuns no departamento de emergência, comumente causados por pedaços de vidro, madeira e metal, que podem causar complicações a longo prazo quando não detectados. O ultrassom à beira do leito, uma ferramenta crescentemente usada pelo médico emergencista, é um excelente método de auxílio na detecção, localização e remoção de corpos estranhos em partes moles, principalmente daqueles não radiopacos. Existem poucos estudos na literatura quanto ao uso de ultrassom à beira do leito na emergência para abordagem de corpos estranhos retidos em partes moles.
METODOLOGIA: revisão de literatura com a seleção de 31 artigos científicos, com discriminadores: corpo estranho; ultrassom; partes moles; emergência; que se adequaram aos objetivos do trabalho.
DISCUSSÃO: A maioria corpos estranhos conseguem ser detectados no ultrassom, com sensibilidade e especificidade consideravelmente elevadas evidenciadas nos artigos revisados, sendo esta ferramenta de grande utilidade principalmente em materiais não radiopacos, que não conseguem ser visualizados na radiografia simples.
CONCLUSÃO: Por ser de fácil acesso, de baixo custo e por não ter risco de radiação ionizante, o ultrassom à beira do leito é um método que deve ser considerado como parte da abordagem inicial de todo paciente em que se suspeita de corpo estranho retido, garantindo maior segurança na detecção e na remoção e reduzindo complicações a longo prazo.
INTRODUÇÃO
Ferimentos de partes moles são queixas comuns no departamento de emergência. Em 2016, ferimentos foram responsáveis por 6,8 milhões de atendimentos de emergência nos Estados Unidos. As feridas podem conter corpos estranhos (CE) retidos, que podem causar complicações a longo prazo se inapropriadamente manejado, incluindo déficits neurovasculares e dor crônica. 1 Tais lesões costumam ser comumente causadas por pedaços de madeira, vidro, metal, plástico ou cascalho. 2 Os corpos estranhos podem não ser detectados na avaliação primária, e exames de imagem são úteis na avaliação e localização dos CE. 1 Dentre os exames de imagem, o ultrassom é crescentemente o mais disponível ao médico emergencista, fácil de usar, e com melhor custo-benefício para visualização dos CE. Esse método de imagem pode ser trazido à beira do leito para o conforto do paciente e possui menor probabilidade de necessidade de sedação durante o exame. 3 A ultrassonografia de alta resolução é uma excelente ferramenta usada para detecção, localização e remoção de corpos estranhos não radiopacos em partes moles, pois os radiopacos são vistos grosseiramente por radiografias simples. Essa ferramenta possui um papel importante na identificação, caracterização e localização tridimensional detalhada com relação a estruturas neurovasculares e outras estruturas vitais. 4 Existem poucos trabalhos na literatura médica acerca do uso de ultrassom à beira do leito em pacientes com corpos estranhos retidos em partes moles. De tal modo, este artigo de revisão traz como objetivo otimizar a avaliação e abordagem no cuidado dos pacientes com corpos estranhos retidos em partes moles com auxílio do ultrassom por meio da revisão das melhores e mais atuais técnicas disponíveis.
METODOLOGIA
Trata-se de uma revisão de literatura realizada entre os meses de novembro de 2022 e dezembro de 2022 de artigos científicos, sendo escolhidos em idiomas português e inglês.
A busca foi realizada nas bases de dados Pubmed, Scielo e LILACS, utilizando os descritores na língua inglesa :foreign body, ultrasound e soft tissue com resultado de 108 artigos, que foram avaliados pelo título e palavras-chaves, resumos, tabelas e figuras, e foram selecionados no final 31 artigos para leitura na íntegra, pois se adequaram aos objetivos traçados pelo trabalho. Foram excluídos artigos de corpos estranhos que não fossem em pele e partes moles. Não houve limitação do ano de publicação dos artigos pesquisados, devido a existência de poucas publicações acerca do assunto na literatura médica.
DISCUSSÃO
Avaliação e exame físico
Os pacientes podem não apresentar queixas sobre CE após uma lesão. No entanto, a história clínica pode sugerir necessidade de avaliação adicional. A sensação de CE e trauma secundário a projéteis de alta velocidade ou contato com objetos frágeis e pontiagudos devem aumentar a suspeição para CE. 1
Embora algumas feridas com CE cicatrizem sem complicações, este processo é demorado na maioria das vezes, o que é resultante da inflamação prolongada e excessiva. A formação de granuloma e infecção são sequelas comuns de CE. 6 Como regra geral, qualquer CE necessita de remoção quando se torna sintomático ou desenvolve infecção, ou quando o paciente deseja remoção. 4
Uma inspeção visual cuidadosa é necessária para avaliar a presença de corpo estranho no subcutâneo. A palpação ao redor da ferida pode evidenciar dor e edema. O CE pode permanecer não detectado na avaliação física inicial. 1 Em um estudo, 38% dos corpos estranhos não foram vistos na avaliação inicial; e em muitos casos, não foi realizado exame de imagem adicional. 7
Exames complementares e o papel do ultrassom
Para planejamento de uma estratégia de manejo adequado, a detecção do CE retido é essencial, assim como a avaliação do seu tamanho, localização e composição. 8
Os exames de imagem podem auxiliar na detecção e subsequentemente reduzir complicações a longo prazo de CE retidos. 1
A radiografia simples é um método diagnóstico barato e amplamente disponível, com baixa exposição a radiação. Ela consegue detectar materiais radiopacos, incluindo metais e vidros. Materiais vegetativos como madeira não podem ser vistos, pois absorvem os líquidos corporais e se tornam tão densos quanto os tecidos circundantes. 9 Em adição a esse aumento na dificuldade de identificação, madeiras e materiais orgânicos possuem maior chance de causar complicações. 8 A tomografia computadorizada tipicamente não é usada na avaliação inicial devido a exposição a radiação, a baixa sensibilidade na detecção de material radiolucente e ao alto custo. A ressonância magnética tem seu uso limitado devido alto custo e consumo de tempo. 10
Muitas vezes, tanto a detecção como a localização precisa com radiografia simples ou tomografia computadorizada é difícil. Com efeito, o ultrassom é capaz de detectar quase todos os tipos de CE, independentemente da composição. A taxa de sensibilidade para detecção reportada é entre 94 e 98%. 10 Vários estudos na literatura de Medicina de Emergência reportaram diferentes sensibilidade e especificidade para detecção de corpos estranhos por emergencistas com auxílio da ultrassonografia. Em um estudo de médicos emergencistas sem formação em ultrassom, a sensibilidade e especificidade foram de 98% na detecção de CE em pedaços de carne. 11 Outro estudo com plásticos e madeiras inseridas em pernas humanas amputadas avaliadas por médicos emergencistas com um ano de experiência em ultrassom e residentes sem experiência em ultrassom mostrou sensibilidade de 77% e 70% respectivamente. A especificidade geral foi de 59% nesse estudo. 12 Um estudo grande utilizando ultrassom à beira do leito na avaliação de 131 CE em 105 pacientes pediátricos relatou uma sensibilidade de 67% e especificidade de 96,6%. 13 Uma meta-análise de 2015 evidenciou sensibilidade de 96,7% e especificidade de 84,2% na detecção de materiais radiolucentes. É importante destacar que a sensibilidade aumenta com maior tamanho do CE. 14 Portanto, o ultrassom à beira do leito oferece uma imagem em alta definição e é um exame mais barato que a tomografia ou ressonância nuclear magnética, além de ser de fácil acesso. 2 Ainda, a ultrassonografia elimina o uso de radiação ionizante na localização do CE, o que é especialmente benéfico na população pediátrica altamente radiossensível. 15 O ultrassom pode localizar o corpo estranho e identificar estruturas vasculares subjacentes, o que auxilia no planejamento cirúrgico e facilita a remoção do CE. 16 Na prática clínica do médico emergencista, o ultrassom vem se tornando uma extensão ao exame físico. 4
Equipamento e técnica
A detecção do CE em nível subcutâneo deve ser realizada utilizando transdutores com a maior resolução disponível. 4 A frequência de ondas de ultrassom são inversamente proporcionais ao comprimento de onda. Quanto maior a frequência (baixo comprimento de onda), melhor a resolução, enquanto baixas frequências (maior comprimento de onda) permitirão uma maior penetração nos tecidos, bem como viabilizarão a avaliação de estruturas mais profundas. Geralmente, os CE são objetos relativamente pequenos, o que torna necessário o uso de um probe de maior frequência. 17 Transdutores lineares de alta frequência (7-18MHz) são os mais úteis na detecção de materiais radiopacos e não radiopacos, com tamanhos entre 0,5 até mais de 10mm de dimensão transversa. 4
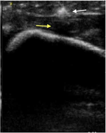
A maioria dos CE como a madeira, o plástico, o vidro e o metal são hiperecoicos quando vistos no ultrassom. 2 Tanto a madeira quanto o plástico são objetos com melhor visualização por ultrassom do que por radiografia simples. 18 Um estudo mostrou que o ultrassom foi capaz de detectar fragmentos de madeira de até 2,5mm com 87% de sensibilidade e 90% de especificidade. (Figura 1)19 Dependendo do tamanho e da densidade, eles podem gerar uma sombra acústica posterior que auxilia em sua localização. Os vidros e os metais geralmente possuem artefatos de reverberação, e aparecem como linhas hiperecoicas repetitivas profundamente ao objeto (Figura 2). Itens metálicos arredondados ou pequenos tipicamente geram a “cauda de cometa”, um tipo específico de artefato de reverberação. 2 Pode haver líquido inflamatório hipoecoico com coleção de fluido ao redor do CE, o que é chamado de sinal do halo. Ainda, isto pode representar edema, abcesso ou tecido de granulação. 16 Geralmente, o halo se desenvolve após 24h como resultado de resposta inflamatória local, e auxilia na visualização do CE. 3


É indicada a realização de uma varredura meticulosa para detecção do CE, uma vez que este pode ser sutil, assim como sua ecogenicidade pode ser confundida com uma fibra muscular ou uma fáscia. Outras possíveis distrações incluem a existência de vários corpos estranhos pequenos, que geram múltiplos artefatos, e gás. Durante a busca inicial pelo CE, sua detecção é mais fácil quando o plano de insonação atinge o objeto alinhado com o eixo longitudinal, delineando o comprimento total do CE. Ainda, manter este alinhamento é importante, justamente por evitar a insonação oblíqua do objeto, o que pode encurtar o aspecto do CE. 4
No caso destas estruturas serem particularmente superficiais, como ocorre com o CE em palmas e plantas, uma superfície de afastamento pode ser utilizada, por exemplo, um suporte gelatinoso ou uma luva repleta de líquido. Ainda é possível colocar a extremidade em uma bacia com água, o que irá deixar a pele a uma ótima distância focal para visualização. Esta técnica pode ser realizada com água quente ou em temperatura ambiente. A extremidade deve ser colocada na base da bacia, e o transdutor deve estar alinhado acima da mão a uma distância de 1cm, sem encostar na pele (Figura 3). O método supracitado é menos desconfortável para o paciente, uma vez que não se faz o contato direto entre o transdutor e a pele. 2

O ultrassom de fato possui limitações. Como qualquer outra técnica, é operador-dependente e necessita de treinamento apropriado. As limitações de remoção do CE guiado por ultrassom incluem o local anatômico da punção, o tipo de corpo estranho sendo avaliado, a instrumentação, as bolhas sobrepostas, a largura do feixe de ultrassom, o tamanho do corpo estranho e a mobilidade do CE. 20 O conhecimento da anatomia regional e uso de transdutores de alta frequência são essenciais para evitar erros de interpretação. 19 Uma meta- análise evidenciou que os principais fatores contribuintes para falsos-positivos na detecção de CE incluem granulomas, pequenos CE potencialmente não vistos na cirurgia, calcificações, ar e gás no tecido subcutâneo. 14
Remoção do corpo estranho
Antes de remover um corpo estranho, deve-se analisar os riscos e os benefícios em decisão conjunta com o paciente. Os riscos incluem lesão tecidual adicional, remoção incompleta e necessidade de procedimentos adicionais. Benefícios incluem diminuição do risco de reações inflamatórias, diminuição de dor crônica e cicatrização mais rápida. Os CE podem ser deixados no local quando os riscos de remoção superam os benefícios. 1
Dentre as lesões traumáticas, o risco de infecção é maior em pacientes idosos, principalmente naqueles com diabetes, assim como em feridas maiores e mais profundas, com contaminação visível e com CE. 21 O potencial para complicações devido CE retido é mais evidente na mão, onde há numerosas estruturas próximas as outras e que necessitam de sua integridade para função normal. 8
A remoção do CE pode ser tentada inicialmente por exploração superficial e irrigação da ferida, o que pode ser facilmente realizado na emergência. A ultrassonografia provém visualização em tempo real, sendo particularmente útil durante uma dissecação profunda, visto que o objeto pode se deslocar durante a exploração da ferida. 15
Vários métodos foram descritos para remoção guiada por ultrassom de CE. Um marcador na pele pode ser usado para assinalar o objeto no eixo longitudinal e no eixo curto antes da incisão. Além disto, uma agulha estéril também pode ser usada, sendo esta introduzida sob orientação do ultrassom em tempo real até que toque o CE. Então, a incisão e a dissecação são realizadas ao redor da agulha e em direção a ponta, onde o CE será encontrado. Em outra opção de técnica, duas agulhas são usadas. A primeira é inserida como descrito acima. Em seguida, ocorre a inserção da segunda guiada por ultrassom. Esta é introduzida fazendo um ângulo de 90 graus em relação a primeira. 2
O CE deverá ser removido a partir do local em que estiver mais próximo da superfície da pele, realizando um trajeto paralelo ao seu eixo longo. Isto deverá ser identificado e marcado na pele do paciente. A incisão deve ser grande o suficiente para acomodar todo o corpo estranho, o que será medido cuidadosamente utilizando ultrassom. 22 Anestesia local é necessária durante o procedimento de retirada do CE. A injeção de lidocaína diretamente ao redor do CE auxilia em alguns casos, visto que disseca o tecido subcutâneo adjacente. 20
Em uma ferida puntiforme, injetar soro fisiológico sob pressão pode empurrar os contaminantes a fundo no tecido. Posto isto, tal ação deve ser evitada. Agentes antissépticos como peróxido de hidrogênio, clorexidina e iodopovidine não devem ser aplicados diretamente à ferida, dado que são tóxicos e retardam o processo de cicatrização. 5 Sob confirmação ultrassonográfica de que o CE foi completamente removido com sucesso, a ferida é então irrigada com solução fisiológica e a pele pode ser deixada aberta para cicatrizar por segunda intenção se houver sinais de contaminação. 22 A lesão deve ser fechada se possível, pois mostrou ser associado a redução da dor e tempo de cicatrização, com melhor resultado estético. 1
CONCLUSÃO
A relevância do uso do ultrassom na detecção e remoção de corpos estranhos em partes moles depende da natureza, da localização do corpo estranho e da experiência do operador e da sensibilidade e especificidade das técnicas utilizadas. Quanto a natureza do CE, vários estudos experimentais comparando diferentes modalidades de exames de imagem evidenciaram que o ultrassom é a melhor modalidade capaz de detectar materiais não radiopacos. Portanto, o ultrassom se mostrou ser uma ferramenta importante na abordagem inicial de corpos estranhos retidos em partes moles, podendo ser utilizado na prática do médico emergencista para detecção e remoção dos CE com menor custo, mais facilidade e segurança para o paciente. A maioria dos trabalhos que existem acerca do assunto estudaram o uso de ultrassonografia tradicional, o que nos deve instigar sobre a necessidade de mais estudos quanto ao ultrassom à beira do leito.
REFERÊNCIAS
1. Rupert J, Honeycutt JD, Odom MR. Foreign Bodies in the Skin: Evaluation and Management. Am Fam Physician. 2020;101(12):740–7.
2. Budhram GR, Schmunk JC. Bedside ultrasound aids identification and removal of cutaneous foreign bodies: A case series. J Emerg Med [Internet]. 2014;47(2):1–6. Available from: http://dx.doi.org/10.1016/j.jemermed.2014.01.033
3. Graham DD. Ultrasound in the emergency department: Detection of wooden foreign bodies in the soft tissues. J Emerg Med. 2002;22(1):75–9.
4. Rooks VJ, Shiels WE, Murakami JW. Soft tissue foreign bodies: A training manual for sonographic diagnosis and guided removal. J Clin Ultrasound. 2020;48(6):330–6.
5. Halaas GW. Management of Foreign Bodies in the Skin. 2007;
6. Lammers RL. Soft tissue foreign bodies. Ann Emerg Med. 1988;17(12):1336–47.
7. Anderson MA, Newmeyer WL, Kilgore ES. Diagnosis and treatment of retained foreign bodies in the hand. Am J Surg. 1982;144(1):63–7.
8. Bray PW, Mahoney JL, Campbell JP. Sensitivity and specificity of ultrasound in the diagnosis of foreign bodies in the hand. J Hand Surg Am. 1995;20(4):661–6.
9. Ingraham CR, Mannelli L, Robinson JD, Linnau KF. Radiology of foreign bodies: how do we image them? Emerg Radiol. 2015;22(4):425–30.
10. Blankenship RB, Baker T. Imaging Modalities in Wounds and Superficial Skin Infections. Emerg Med Clin North Am. 2007;25(1):223–34.
11. Manthey DE, Storrow AB, Milbourn JM, Wagner BJ. Ultrasound versus radiography in the detection of soft-tissue foreign bodies. Ann Emerg Med. 1996;28(1):7–9.
12. Hill R, Conron R, Greissinger P, Heller M, Jehle D. Ultrasound for the detection of foreign bodies in human tissue. Ann Emerg Med. 1997;29(3):353–6.
13. Friedman DI, Forti RJ, Wall SP, Crain EF. The utility of bedside ultrasound and patient perception in detecting soft tissue foreign bodies in children. Pediatr Emerg Care. 2005;21(8):487–92.
14. Davis J, Czerniski B, Au A, Adhikari S, Farrell I, Fields JM. Diagnostic Accuracy of Ultrasonography in Retained Soft Tissue Foreign Bodies: A Systematic Review and Meta-analysis. Acad Emerg Med. 2015;22(7):777–87.
15. Nwawka KO, Kabutey NK, Locke CM, Castro-Aragon I, Kim D. Ultrasound-guided Needle Localization to Aid Foreign Body Removal in Pediatric Patients. J Foot Ankle Surg [Internet]. 2014;53(1):67–70. Available from: http://dx.doi.org/10.1053/j.jfas.2013.09.006
16. Barr L, Hatch N, Roque PJ, Wu TS. Basic Ultrasound-guided Procedures. Crit Care Clin [Internet]. 2014;30(2):275–304. Available from: http://dx.doi.org/10.1016/j.ccc.2013.10.004
17. Dean AJ, Gronczewski CA, Costantino TG. Technique for emergency medicine bedside ultrasound identification of a radiolucent foreign body. J Emerg Med. 2003;24(3):303–8.
18. Horton LK, Jacobson JA, Powell A, Fessell DP, Hayes CW. Sonography and Radiography of Soft-Tissue. 2001;(May):1155–9.
19. Jacobson JA, Powell A, Craig JC, Bouffard JA. Tissue : Foreign Detection Bodies in at US1. :45–8.
20. Bradley M. Image-guided soft-tissue foreign body extraction - Success and pitfalls. Clin Radiol [Internet]. 2012;67(6):531–4. Available from: http://dx.doi.org/10.1016/j.crad.2011.10.029
21. Hollander JE, Singer AJ, Valentine SM, Shofer FS. Risk factors for infection in patients with traumatic lacerations. Acad Emerg Med. 2001;8(7):716–20.
22. Paziana K, Fields JM, Rotte M, Au A, Ku B. Soft tissue foreign body removal technique using portable ultrasonography. Wilderness Environ Med. 2012;23(4):343–8.