Lucas Martins Ximenes1; Matheus Zaian Rodrigues de Fonseca Lira2; Lara Albuquerque Braga3; Victor Leonardo Barreto4
Resumo
A pneumonia causada pelo novo coronavírus (COVID-19),motivo de grande preocupação mundial desde sua categorização como pandemia pela OMS em março de 2020, tornou-se, uma das mais substanciais causas de mortalidade. Alguns fatores de risco têm sido associados a pior prognóstico ou apresentação clínica mais grave, como idade avançada, obesidade e doença estrutural pulmonar prévia. Dentre algumas complicações raras, estão pneumotórax, pneumomediastino e/ou enfisema subcutâneo. Neste relato, apresentaremos o caso de uma mulher de 36 anos que desenvolveu apresentação clínica grave da COVID-19 com complicações, entre elas, enfisema subcutâneo torácico e cervical extenso e pneumomediastino moderado.
INTRODUÇÃO
A pneumonia causada pelo novo coronavírus (COVID-19) é motivo de grande preocupação mundial desde sua categorização como pandemia pela OMS, em março de 2020, tornando-se, desde então, uma das mais substanciais causas de mortalidade 1.
Alguns fatores podem aumentar o risco de complicações e evolução desfavorável, entre eles, a idade avançada, histórico de Diabetes Mellitus tipo 2, Doença Pulmonar Obstrutiva Crônica (DPOC), hipercolesterolemia, história de imunossupressão. A doença acomete inicialmente o sistema respiratório, mas em fases mais avançadas, pode progredir com dano epitelial-endotelial, infiltração inflamatória e edema pulmonar com membranas hialinas, similares à Síndrome do Desconforto Respiratório Agudo (SDRA), bem como são comuns complicações trombóticas e sépticas, podendo levar à disfunção multiorgânica 2.
Dentre as possíveis complicações do COVID-19, encontram-se pneumotórax (PTX) e pneumomediastino, sendo postulados como indicadores de pior prognóstico 3. A incidência de PTX em pacientes com COVID-19 é estimada em cerca de 1%, havendo casos relatados tanto como uma apresentação aguda no Departamento de Emergência (DE), quanto após a internação, em especial após ventilação mecânica (VM) invasiva 4.
O pneumomediastino, também conhecido como enfisema mediastinal é uma condição clínica rara 5, com incidência estimada em 1/25000 entre pessoas de 5 e 34 anos, acometendo mais comumente os homens (76%) 6. No contexto de COVID-19, pode estar relacionado tanto como uma apresentação espontânea, também conhecida como Síndrome de Hamman, quanto pelo barotrauma causado por VM invasiva 6.
APRESENTAÇÃO DO CASO
Uma mulher de 36 anos de idade apresentou sintomas iniciais de síndrome gripal com febre e coriza em 16/03/21, realizou swab para COVID-19 detectável em 17/03/21, tinha como comorbidades: sobrepeso, esferocitose hereditária (sem acompanhamento regular com hematologia), ansiedade e história de gastroplastia prévia. Negava diabetes, hipertensão arterial e demais comorbidades.
Por volta de 9 dias depois do início dos sintomas, apresentou tosse seca, dispneia aos esforços habituais e procurou atendimento em uma Unidade de Pronto Atendimento (UPA) no dia 25/03/21, onde foi internada, iniciado antibioticoterapia com ceftriaxona, evoluiu com sinais de desconforto respiratório e risco de necessidade de intubação orotraqueal. Diante de serviço de saúde no qual estava, no momento, sem disponibilidade de suporte para manter paciente em ventilação mecânica invasiva, foi transferida para outra unidade no dia 31/03/21.
Admitida na segunda unidade com relato de taquipneia importante, sinais vitais: PA: 120 x 80 mmHg; SatO2 = 78% (máscara de reservatório 10 L/min), FR = 48 irpm. Iniciado ventilação mecânica não invasiva (VNI) intercalada com oxigenioterapia com máscara de reservatório (MR), modificado antibioticoterapia para piperacilina-tazobactam (D1 31/03/21), fez uso de ceftriaxone até D5, corticoterapia com dexametasona 20 mg/dia, profilaxia para tromboembolismo venoso (TEV) com enoxaparina 40mg/dia. Os exames laboratoriais admissionais (31/03: Hb: 12,9; Leuco: 12900; plaq: 96.000; Cr: 0,51; Ur: 25; Mg: 2,61; PCR: 17,7; K: 4,9; Na: 134; PCR: 11,99; gasometria 31/03 (4:44): pH: 7,43; pCO2: 35; pO2: 39; BIC: 23,9; BE: 1,1; SO2: 75%).
Paciente foi transferida para o Hospital do Coração de Messejana (HM) no dia 03/04/21. No exame físico da admissão, encontrava-se em regular estado geral, acordada, eupneica em MR a 15 L/min com SO2: 97%, ausculta pulmonar com creptos em ⅔ inferiores de ambos hemitórax. Os exames laboratoriais admissionais mostravam: 03/04 Hb:13,5; Leuco: 17200; plaq: 147.000; INR: 1,14; TTPA: 0,71; D-Dímero: 20,46 mcg/mL; Ur: 40; Cr: 0,41; TGO: 21; TGP: 26; BT: 0,57; BD: 0,07; BI: 0,50; LDH: 890; PCR: 3,37; 03/04: pH: 7,43; pO2: 59; pCO2: 41; BIC: 26; BE: 2,6; LACT: 2,3; SO2: 91% (MR 12 L/MIN); gasometria 03/04: pH: 7,44; pCO2: 33,1; pO2: 73,6 (IOX: 210 em helmet); BIC: 23; LACT: 1,65.
Durante internamento no HM, foi transferida para unidade de terapia intensiva, onde fez uso de capacete de respiração assistida (Helmet), paciente com difícil aceitação por inquietação e ansiedade, com necessidade de uso de sedação química com dexmedetomidina em infusão contínua. Porém, no dia 04/04/21, evoluiu com desconforto respiratório, com padrão de prensa abdominal, batimento de asa nasal e não-tolerância ao helmet. Diante de falha terapêutica às medidas não invasivas, sinais de insuficiência respiratória, devido ao curso clínico desfavorável, foi realizada intubação orotraqueal em sequência rápida (quetamina e succinilcolina) sob visualização direta em primeira tentativa de laringoscopia sem intercorrências.
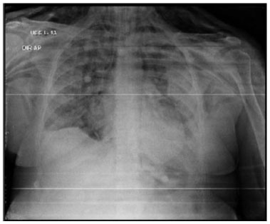
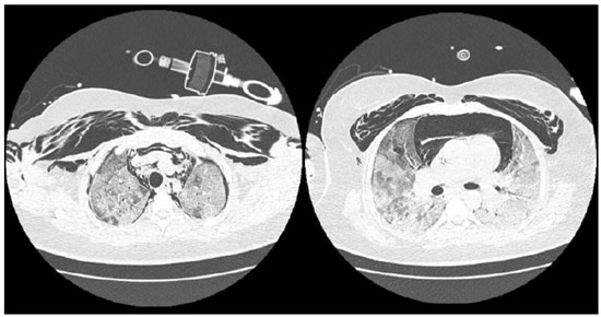
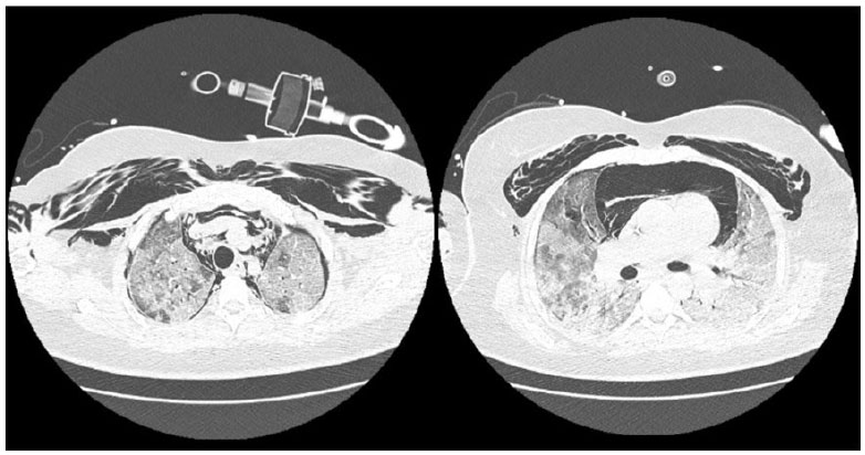
Após o início de VM invasiva, apresentou assincronias frequentes, dificuldade de manter parâmetros VM protetora, com necessidade de ajustes frequentes no ventilador e de associar sedativos em altas doses e bloqueador neuromuscular (fez uso de midazolam, propofol, fentanil e pancurônio). Exame de imagem após intubação orotraqueal, mostrava cânula endotraqueal bem-posicionada, opacidades parenquimatosas difusas, cateter venoso central à direita e sem sinais de pneumotórax (vide figura A). Entretanto, no dia 05/04/21 paciente apresentou ao exame físico enfisema subcutâneo extenso em região torácica e cervical, realizou exames de imagem que evidenciaram extenso enfisema subcutâneo e moderado pneumomediastino (vide figuras B e C). Discutido caso com equipe de cirurgia torácica que optou por manter tratamento conservador e não realizar procedimentos invasivos, como drenagem de subcutâneo.



Paciente evoluiu com hipoxemia e índice de oxigenação compatível com SDRA grave (IOX < 150), realizado pronação de paciente no dia 06/04/21 às 12:30 com objetivo de promover recrutamento alveolar e de melhorar oxigenação. Infelizmente, a paciente evoluiu com hipoxemia refratária e veio a óbito às 4h16 do dia 07/04/2021.
DISCUSSÃO
Dentre as complicações da COVID-19, um estudo retrospectivo apresentou que a incidência em geral de PTX foi de 1% 7. De acordo com McGuinness e colaboradores (2020), pacientes com COVID-19 e em uso de ventilação mecânica invasiva apresentaram taxa mais alta de barotrauma (incluindo PTX e PM) em comparação a pacientes com síndrome do desconforto respiratório agudo e em relação a pacientes sem COVID-19 8.
A paciente relatada neste artigo, além de ter feito uso de terapias não invasivas com pressão positiva, como VNI e Helmet, necessitou inicialmente de PEEP mais elevada quando em VM invasiva devido à apresentação clínica como SDRA grave. O procedimento da intubação orotraqueal foi descrito como sem intercorrências, o que diminui a probabilidade de lesão por trauma direto de via aérea. A justificativa para ocorrência desse tipo de lesão pode ter relação com estratégias de VM com maior pressão ou volume, devido à necessidade de maiores PEEPs para ventilação, bem como à presença de menores complacências pulmonares, com origem no dano alveolar visto em autópsias de pacientes com COVID-19 9.
Um dos mecanismos propostos é um aumento da pressão intratorácica, resultando em um aumento na pressão intra-alveolar e inflação excessiva dos alvéolos sem expansão correspondente do lúmen vascular. Isso resulta em um gradiente de pressão que pode romper os alvéolos marginais, levando ao vazamento de ar para o interstício que pode rastrear ao longo da bainha perivascular e peribrônquica para o hilo do pulmão e, em seguida, para a baixa pressão mediastino. O segundo mecanismo é decorrente da redução no calibre dos vasos pulmonares, sem um correspondente para diminuição da pressão alveolar. Esse evento aumenta o gradiente de pressão, causando vazamento de ar para a bainha. É importante ressaltar que os mecanismos podem ocorrer simultaneamente em que os alvéolos apresentam distensão excessiva enquanto o calibre do sangue diminui 6.
Por outro lado, um estudo recente mostrou que a ocorrência de pneumomediastino foi maior em pacientes com COVID-19, mesmo sem diferenças em relação à estratégia ventilatória, sugerindo que o mecanismo provável para ocorrência de PM nesses casos, seja a fragilidade pulmonar 10. Isso ocorreria por meio do efeito Macklin 11, que descreve a ocorrência de um elevado gradiente de pressão entre os alvéolos marginais e o interstício pulmonar, resultando no vazamento de ar para a bainha broncovascular circundante. Os alvéolos marginais podem deixar o ar escapar para a bainha de tecido conjuntivo, resultando em enfisema pulmonar intersticial e, consequentemente, em PM. Os demais alvéolos particionais têm poros entre os alvéolos adjacentes, fazendo com que o ar passe para outras estruturas próximas, evitando tal acontecimento.
De forma geral, as evidências na literatura ainda não são esclarecedoras a respeito de uma relação causal exata entre a infecção e essas complicações. O objetivo do presente artigo é relatar um caso de apresentação atípica de COVID-19, com pneumomediastino em paciente sob ventilação mecânica.
CONCLUSÃO
Portanto, a importância do caso relatado se dá pelo fato da apresentação clínica na forma grave de pneumonia por COVID-19 em paciente jovem sem importantes fatores de risco associados, evoluindo com complicações raras, como pneumomediastino e enfisema subcutâneo. Os mecanismos que justificam esse tipo de lesão na COVID-19 ainda não estão completamente esclarecidos, mas parece ter relação com fragilidade pulmonar. Outro ponto do relato que chama a atenção foi o desfecho ruim de óbito devido à hipoxemia refratária por disfunção pulmonar, sem ter relato de outras disfunções orgânicas importantes, como renal, cardíaca, hepática ou hematológica.
REFERÊNCIAS
1. AHMAD, Farida B.; ANDERSON, Robert N. The leading causes of death in the US for 2020. Jama, v. 325, n. 18, p. 1829-1830, 2021.
2. WIERSINGA, W. Joost et al. Pathophysiology, transmission, diagnosis, and treatment of coronavirus disease 2019 (COVID-19): a review. Jama, v. 324, n. 8, p. 782-793, 2020.
3. LÓPEZ VEGA, Jesse Mauricio et al. Pneumomediastinum and spontaneous pneumothorax as an extrapulmonary complication of COVID-19 disease. Emergency Radiology, v. 27, n. 6, p. 727-730, 2020.
4. MARTINELLI, Anthony W. et al. COVID-19 and pneumothorax: a multicentre retrospective case series. European Respiratory Journal, v. 56, n. 5, 2020.
5. BODEY, GERALD P. Medical mediastinal emphysema. Annals of Internal Medicine, v. 54, n. 1, p. 46-56, 1961
6. ELHAKIM, Tarig Sami et al. Spontaneous pneumomediastinum, pneumothorax and subcutaneous emphysema in COVID-19 pneumonia: a rare case and literature review. BMJ Case Reports CP, v. 13, n. 12, p. e239489, 2020.
7. CHEN, Nanshan et al. Epidemiological and clinical characteristics of 99 cases of 2019 novel coronavirus pneumonia in Wuhan, China: a descriptive study. The Lancet, [S.L.], v. 395, n. 10223, p. 507-513, fev. 2020. Elsevier BV. http://dx.doi.org/10.1016/s0140-6736(20)30211-7.
8. MCGUINNESS, Georgeann et al. Increased incidence of barotrauma in patients with COVID-19 on invasive mechanical ventilation. Radiology, v. 297, n. 2, p. E252-E262, 2020.
9. KANGAS-DICK, Aaron et al. Clinical characteristics and outcome of pneumomediastinum in patients with COVID-19 pneumonia. Journal of Laparoendoscopic & Advanced Surgical Techniques, v. 31, n. 3, p. 273-278, 2021.
10. LEMMERS, Daniel HL et al. Pneumomediastinum and subcutaneous emphysema in COVID-19: barotrauma or lung frailty?. ERJ Open Research, v. 6, n. 4, 2020.
11. MARSICO, Salvatore; BELLIDO, Luis Alexander Del Carpio; ZUCCARINO, Flavio. Spontaneous pneumomediastinum and macklin effect in COVID-19 Patients. Archivos de bronconeumologia, v. 57, p. 67, 2021.