Patrícia Lopes Gaspar
CASO CLÍNICO
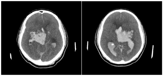
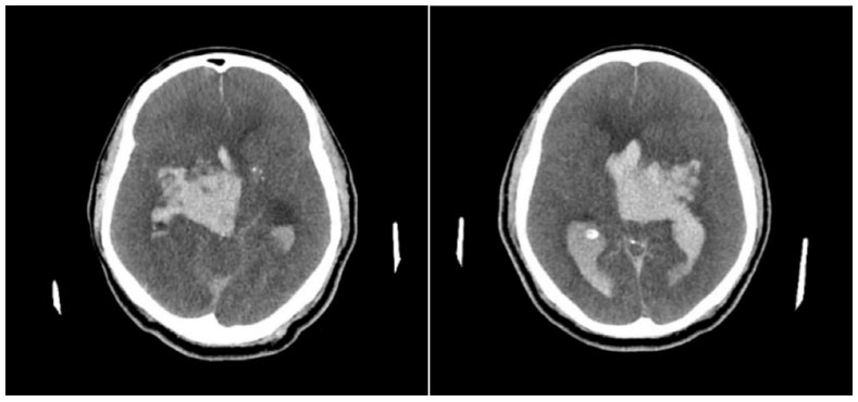
Paciente do sexo masculino, 62 anos, diabético e hipertenso, deu entrada no Departamento de Emergência com queixa de cefaleia súbita e rebaixamento do sensório, 3 horas antes de sua chegada. Seus sinais vitais da entrada mostravam hipertensão com PA 163x110 mmHg, taquicardia com FC 110 bpm, com boa saturação em ar ambiente de 97%, apesar do quadro de rebaixamento e escala de coma de Glasgow de 10 (AO 3 RV 3 RM 4). Poucos minutos após sua chegada, antes mesmo que fosse levado para realizar neuroimagem, paciente apresentou episódio de convulsão tônico-clônica generalizada, ocasião na qual houve piora do rebaixamento. Foi hidantalizado e intubado na sequência. Apesar das medidas para neutroproteção, paciente apresentou instabilidade hemodinâmica, com hipotensão de 92x57 mmHg. Não havendo condições de transporte para realizar neuroimagem, foi realizado ultrassom beira leito da bainha do nervo óptico, que mostrou aumento desta com achado de 8,42 mm de dilatação, corroborando com a hipótese de hipertensão intracraniana que ditava o quadro clínico. Foram iniciadas medidas para aumento da pressão intracraniana, assim como correção da hipotensão, com posterior estabilização hemodinâmica. Realizou, então, neuroimagem, com achado de volumosa hemorragia intraparenquimatosa centrada em núcleos da base à direita, associada a hemoventrículo difuso e sinais de hipertensão intracraniana (Figuras 1 e 2). Foi optado por neurocirurgia manter conduta conservadora do quadro.

DIAGNÓSTICO
Há muitos anos vem surgindo estudos acerca do aumento da bainha do nervo óptico como marcador não invasivo de hipertensão intracraniana. Muitas vezes a monitorização invasiva da pressão intracraniana por meio de um cateter não está disponível ou não está indicada, podendo-se utilizar o ultrassom como exame não invasivo, de curta curva de aprendizado, podendo ser realizado pelo médico assistente. A bainha do nervo óptico envolve um espaço que tem comunicação direta com espaço subaracnóideo, havendo então a transmissão do aumento da pressão intracraniana para essa região.
Esse estudo pode ser feito beira leito, com um transdutor de alta frequência, tendo como exemplo o probe linear. A estrutura a ser visualizada é a entrada do nervo óptico no globo ocular, com sua respectiva bainha. Devemos então obter uma imagem que mostre a distensão máxima da bainha, com mensuração de seu diâmetro de 3mm posterior ao globo (Figura 3). Feito isso, traçamos uma linha reta usando o diâmetro transversal máximo da bainha, atravessando o ponto final dos 3mm determinados anteriormente (Figura 4).

Nosso paciente em questão apresentou uma dilatação de 8,42 mm da bainha do nervo óptico, como podemos observar na Figura 4 acima.
Não existe um ponto de corte definido na literatura que nos diga qual valor confirma hipertensão intracraniana ou indica cirurgia descompressiva. Alguns estudos apontam para valores abaixo de 5mm como dentro do esperado, mas ainda não há consenso estabelecido. Outros mostram que o ponto de corte acima de 6mm praticamente confirma a presença de hipertensão intracraniana. Devemos sempre levar em conta os recursos disponíveis no local, o quadro clínico do paciente e os valores comparativos do exame.1–6
REFERÊNCIAS
1. Nash J e., O’rourke C, Moorman M l. Transocular ultrasound measurement of the optic nerve sheath diameter can identify elevated intracranial pressure in trauma patients. Trauma. 2016;18(1):28–34. Disponível em: https://doi.org/10.1177/1460408615606752
2. Toscano M, Spadetta G, Pulitano P, Rocco M, di Piero V, Mecarelli O, et al. Optic Nerve Sheath Diameter Ultrasound Evaluation in Intensive Care Unit: Possible Role and Clinical Aspects in Neurological Critical Patients’ Daily Monitoring. BioMed Research International. 2017;2017. Disponível em: https://doi:10.1155/2017/1621428.
3. Maude RR, Hossain MA, Hassan MU, Osbourne S, Abu Sayeed KL, Karim MR, et al. Transorbital sonographic evaluation of normal optic nerve sheath diameter in healthy volunteers in Bangladesh. PLoS ONE. 2013 Dec 2;8(12). Disponível em: https://doi.org/10.1371/journal.pone.0081013
4. Bekerman I, Sigal T, Kimiagar I, ben Ely A, Vaiman M. The quantitative evaluation of intracranial pressure by optic nerve sheath diameter/eye diameter CT measurement. American Journal of Emergency Medicine. 2016 Dec 1;34(12):2336–42. Disponível em: https://doi:10.1016/j.ajem.2016.08.045.
5. Komut E, Kozaci N, Sönmez BM, Yilmaz F, Komut S, Yildirim ZN, et al. Bedside sonographic measurement of optic nerve sheath diameter as a predictor of intracranial pressure in ED. American Journal of Emergency Medicine. 2016 Jun 1;34(6):963–7. Disponível em: https://doi:10.1016/j.ajem.2016.02.012.
6. Güzeldağ S, Yılmaz G, Tuna M, Altuntaş M, Özdemir M. Measuring the Optic Nerve Sheath Diameter with Ultrasound in Acute Middle Cerebral Artery Stroke Patients. Journal of Stroke and Cerebrovascular Diseases. 2021 Feb 1;30(2). Disponível em: https://doi.org/10.1016/j.jstrokecerebrovasdis.2020.105523